We would love for you to contact us and let us help you get your smile back.
A Great Smile is a Healthier You!



Get a healthy smile with the latest dental implant technology from the Dental Implant Aesthetic Center. We use a variety of implant methods, including bone grafting and mini-implants, to offer aesthetically appealing tooth restorations that are long-lasting and easy to care for.
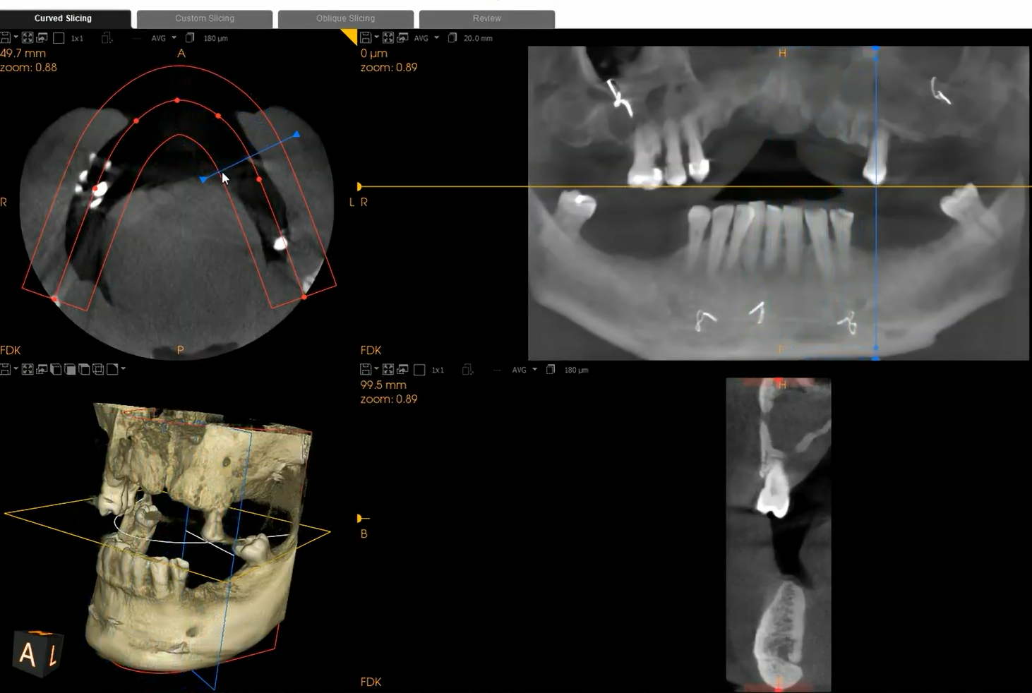
Our service starts with sophisticated digital imaging and 3D scanning to determine the health of the existing teeth and bones. We’ll use the information gathered from our 3D imaging to identify which implant procedures are most likely to be successful and guide implant placement for strong healing.
There are many types of implants available. Titanium remains popular, thanks to its high biocompatibility and good osseointegration properties. However, in recent years, other biocompatible materials have become more common.
Most recently, new surface technologies have been able to combine Zirconia and Titanium together into a new patented material that combines the strength and biocompatible properties of these materials that have resulted in higher success rates. The Dental Implant Aesthetic Center has begun using implants with this improved surface technology for all of our patients.
Our CBCT scanning system helps us get a detailed, 360-degree view of the jaw, nerves, gums, and soft tissue. The information we can collect via computed tomography goes far beyond that of a traditional X-ray, helping our dental team properly place, type, and design implants.
Using 3D imaging, we can check the bone density and jaw health and plan the installation to the finest detail, including predicting what sort of aftercare might be necessary during the healing process. The scan includes the sinuses, nasal cavity, and nerve canals, so you can feel confident that the prosthodontist working with you has a full overview of any nerves that might be affected by the installation of dental implants.
Our dentists and dental technicians take a patient-centered approach to care, starting with CBCT scanning. With this type of diagnostic, you’ll receive a lower dose of radiation than you would from a traditional dental scan, and you’ll get more detailed results.
At the Dental Implant Aesthetic Center, we have many years of experience providing people with natural-looking, strong, and durable implants that fit comfortably and are easy to care for. Our goal is to help our patients regain a smile that’s almost indistinguishable from the one they were born with and doesn’t require extensive aftercare.
DIAC has something for everyone, from all-on-four implants and crowns to bridges and overdentures. We scrutinize every patient, considering their needs and preferences to deliver aesthetically pleasing solutions that promote good dental health for your remaining teeth.
Choose the Dental Implant Aesthetic Center for a great-looking smile and a healthier you.